top of page
Buscar


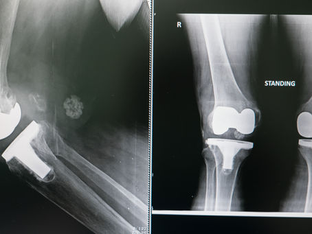
Tratamientos de Cartílago vs Prótesis de Rodilla
¿Por qué cambia la recomendación antes y después de los 50 años? Cuando aparece dolor de rodilla por desgaste o lesión del cartílago, muchos pacientes se preguntan: “¿Me conviene reparar el cartílago o de plano ponerme una prótesis?” La respuesta depende en gran parte de la edad, del estado del cartílago y de la calidad del hueso. 1. ¿Por qué es tan importante la edad en la reparación del cartílago? El cartílago articular no tiene vasos sanguíneos, lo que significa que su cap

Dr Israel Gonzalez
1 Min. de lectura


🩺 Tratamientos para la reparación del cartílago articular
El cartílago articular es un tejido único: no cuenta con aporte vascular, nervioso ni linfático . Esta falta de circulación —tanto sanguínea como linfática— es una de las principales razones por las que el cartílago tiene una capacidad muy limitada para repararse por sí mismo . Al no existir un flujo sanguíneo directo, no se produce una respuesta inflamatoria efectiva ante una lesión. Solo cuando el daño alcanza al hueso subcondral , pueden activarse células reparadoras que

Dr Israel Gonzalez
2 Min. de lectura


🧩 ¿Cómo se repara una lesión del cartílago articular?
Numerosos estudios han confirmado que el cartílago articular tiene una capacidad muy limitada para repararse de forma espontánea . Cuando ocurre una lesión, el organismo solo logra formar una delgada capa de tejido fibroso o fibrocartílago , cuya función mecánica es mucho menor y no recupera las propiedades originales del cartílago sano . 🔍 Tipos de lesiones del cartílago Las lesiones pueden ser parciales o completas : • Lesiones parciales: se pierde solo parte del espesor

Dr Israel Gonzalez
2 Min. de lectura


🦴 Función del cartílago articular: el verdadero amortiguador de tus articulaciones
El cartílago articular es un tejido especializado que recubre las superficies de los huesos en las articulaciones. Su función principal es amortiguar el impacto que se produce cuando los huesos se mueven o soportan peso. Aunque el hueso es mucho más duro que el cartílago —de hecho, hasta mil veces más resistente —, paradójicamente es más frágil ante las deformaciones . Basta con que sufra un cambio de forma menor al 1 % para fracturarse. En cambio, el cartílago puede defor

Dr Israel Gonzalez
1 Min. de lectura


Que es el cartílago?
El cartílago articular es un tejido relativamente acelular esto quiere decir que no hay células vivas, son más bien células que mantienen la estructura del tejido como andamios, los cuales se llaman condrocitos. Otra característica del cartílago es que no tiene vasos vasculares ni linfáticos por lo tanto sus nutrientes son por medio de difusión directa que proceden del líquido articular (líquido sinovial) De las aproximadamente 20 proteínas que se identifican en el cartíl

Dr Israel Gonzalez
1 Min. de lectura


Dolor de rodilla, no todo es desgaste.
Muchas de las personas que acude a la consulta por dolor de rodilla, piensan que es por desgaste del cartílago, sin embargo no todo lo...

Dr Israel Gonzalez
1 Min. de lectura


REALIDAD O MITO. LA GLUCOSAMINA AYUDA AL CARTILAGO
Hola mis queridos lectores el día de hoy vamos a hablar acerca de la glucosamina y algunos de sus derivados o componentes con los cuales...

Dr Israel Gonzalez
3 Min. de lectura


La Obesidad, como causa número #1 de dolor de rodilla.
Sabías que la obesidad es una de las principales causas de dolor en las rodillas, quieres saber porque? Revísalo aquí mi blog o en mi...

Dr Israel Gonzalez
1 Min. de lectura


Cartílago Articular de Rodilla.
Previamente en un blog platicamos de cómo está constituido el cartílago y lo difícil que es regenerarse. En esta ocasión hablaremos de...

Dr Israel Gonzalez
1 Min. de lectura


Condromalacia. Que es?
Probablemente muchos de ustedes han escuchado o visto en algún estudio de imagen que tienen una Condromalacia. Pero, ¿qué es la...

Dr Israel Gonzalez
1 Min. de lectura


¿Que es el cartílago y cual es su función?
El cartílago está formado por condrocitos, y estos a su vez en proteoglucanos y colágeno tipo II. Los condrocitos son avasculares, lo que...
-
2 Min. de lectura


La importancia de cuidar nuestras articulaciones.
Un problema que vemos a diario en la consulta es el dolor articular. Y con esto nos hacen una pregunta, ¿Cómo puedo ayudar a mi...
-
2 Min. de lectura
Dr González Traumatologo y Ortopedista
Un espacio de información
bottom of page




